History, levels of analysis, methods

2025-08-26

Rick Gilmore

Department of Psychology

Prelude

National Geographic (2014)

Today’s topics

  • Warm up
  • History of neuroscience
  • Levels of analysis
  • Neuroscience methods

Warm-up

Neuroscience is harder than physics because…

  • A. The brain has more parts than any other physical entity we know about.
  • B. Physicists have largely ignored biology.
  • C. Nervous systems are influenced by multiple factors we can’t (yet) measure effectively.
  • D. Physics involves lots of math; you can’t study the mind with math.

Neuroscience is harder than physics because…

  • A. The brain has more parts than any other physical entity we know about.
  • B. Physicists have largely ignored biology.
  • C. Nervous systems are influenced by multiple factors we can’t (yet) measure effectively.
  • D. Physics involves lots of math; you can’t study the mind with math.

Systems have all of the following components EXCEPT:

  • A. Boundaries
  • B. Components
  • C. Interactions among components
  • D. Inputs and outputs
  • E. Readily predictable behavior

Systems have all of the following components EXCEPT:

  • A. Boundaries
  • B. Components
  • C. Interactions among components
  • D. Inputs and outputs
  • E. Readily predictable behavior

If understanding everything we need to know about the brain is a mile, how far have we walked?

About three inches.

National Geographic (2014)

Jeff Lichtman

History of neuroscience

NeuroBriefs (2011)

Why study history?

  • What can observation tell us about brain and behavior?
  • Vital role of tools/methods/techniques in discovery
  • “If I have seen further, it is by standing on the shoulders of giants.” – Isaac Newton, 1676; (Wikipedia contributors, 2024)

Pre/Early history

Trephining (trepanning)

  • Deliberate creation of openings in the skull
  • Earliest evidence +7,000 yrs old
  • Q: Why did they do this?
  • A: Treat head injury, epilepsy, mental disorders, release evil spirits

The MIT Press Reader (n.d.)

Egyptians (1,500-3,000 BCE)

  • First written (hieroglyphic) record of the term “brain”

Chudler (n.d.-b)

Beer-making (~2-5,000 BCE)

  • Speculate: What might beer-making have to do with the neurological bases of human behavior?

Alulu beer receipt – This records a purchase of ‘best’ beer from a brewer, c. 2050 BC from the Sumerian city of Umma in ancient Iraq (Wikipedia)

Greek and Roman era

Wikipedia

Aristotle

  • Aristotle (~335 BCE)
    • mind and body not distinct
    • brain “cools” the body, heart is the mental organ

Aristotle

Galen (~177 CE)

  • Physician in Roman Empire, of Greek descent
  • Anatomical reports based on dissection of monkeys, pigs
  • Influenced by Hippocrates’ notion that human temperaments (~personalities) linked to “humors”: blood, black bile, yellow bile, phlegm

Wikipedia

Your turn

Important

Do modern humans think that individual differences in thought, mood, and behavior relate to biological factors?

How so?

So, were Galen’s ideas prescient?

Galen (~177 CE)

  • Observed that gladiators’ head injuries impaired thinking, movement
  • Speculated that fluid filling the brain cavities called ventricles, circulates through nerves, body
  • “Ventricular” theory of nervous system function

http://www.cerebromente.org.br/n06/historia/am1.gif

Summing up: Early knowledge

  • Mental functions controlled by organs in the head, i.e., the brain
  • Mental functions can be influenced by substances we consume
  • Head injury can impair behavior and thinking
  • Something flows from brain to body via nerves

Why didn’t they know more?

  • Limited technology (tools & techniques)
  • Limited cultural support for systematic observation & description. = SCIENCE
  • Lack of ability to use knowledge even if it were acquired

Leonardo da Vinci (~1508)

  • Wax casts of ventricles
  • Ventricles not spherical!
  • Better “measure” \(\rightarrow\) more precise evidence

Fessl (n.d.)

Andreas Vesalius (1543)

  • De Humani Corporis Fabrica Libri Septem (On the fabric of the human body in seven books) (Wikipedia contributors, 2025a)
  • 1st detailed drawings of brain and body anatomy

Wikipedia contributors (2025a)

René Descartes – mid 1600’s

  • Reflexes “reflect” sensory events in the world
  • Reflexes ≠ voluntary functions
  • Reflexes and animal “minds” are physical, machine-like

https://upload.wikimedia.org/wikipedia/commons/8/8a/Descartes-reflex.JPG

René Descartes – mid 1600’s

  • Human mind is not machine-like
    • “Dual” influences on behavior
    • Physical + spiritual
    • Philosophical dualism

https://upload.wikimedia.org/wikipedia/commons/8/8a/Descartes-reflex.JPG

René Descartes – mid 1600’s

  • Soul controls body via pineal gland
    • Fluid from ventricles cause muscles to “inflate”
  • One of the earliest “mechanistic” accounts of behavior

Figure of the pineal gland by Descartes: http://images.fineartamerica.com/images-medium-large-5/descartes-pineal-gland-granger.jpg

Your turn

  • Do you agree with Descartes?
    • Yes, human minds are fundamentally different from animal minds. The human mind is influenced by both physical and extraphysical processes.
    • No, human minds are similar to animal minds. The human mind arises solely from physical processes.
  • Why or why not?
  • How would you scientifically test Descartes’ idea about the role of the pineal gland?

Other critical milestones

Lessons from early history

  • Understanding shaped by new methods, tools
  • If you can’t see it/measure it, you can’t say much about it

Lessons from early history

  • Neuroscience shaped by great debates
    • Is the mind == brain?
    • Are human minds and animal minds similar or categorically different?
    • Are functions local or distributed?
    • Do neurons connect like pipes or pass info like relay runners?
    • What flows from the head to the body?

SamCookeVEVO (2015)

Levels of analysis

Powers of Ten

Eames Office (2010)

Spatial resolution

Churchland

Spatial and Temporal Resolution

Sejnowski, Churchland, & Movshon (2014)

Your turn

  • What’s a micro (spatially small) influence on/aspect of behavior or mental experience?
  • What’s a macro (spatially large)…
  • What’s a micro (temporally short)…
  • What’s a macro (temporally long)…

Why does this matter?

  • Different phenomena -> levels of analysis
  • Different levels analysis -> different methods
  • How does the micro affect macro and vice versa?

Skill-building

Being able to think about spatial and temporal levels of analysis inside and outside of neuroscience is extremely useful.

Example: How does your personal spending affect the global economy?

Spatial Resolution in Detail

  • Within an individual
    • molecular
      • genetic
      • receptor
    • chemical
      • neurotransmitters & hormones
    • cellular
      • neuronal firing

Sejnowski et al. (2014)
  • Internal to individuals
    • network
      • lateral inhibition
    • area
      • Visual cortex (V1) varies by ~2x between people
    • region
      • Wiring/connectivity differences
    • system

Sejnowski et al. (2014)
  • External to individuals
    • Social
      • Friends, family, teachers, others
    • Non-social
      • Neighborhood, school, state/region, country
      • Physical environment

Wikipedia contributors (2025b)

Temporal Resolution in Detail

  • Within one lifetime
    • Microseconds
      • detection position from acoustic stimulation
    • Milliseconds
      • action potential
    • Seconds
      • changes in EEG power
      • short-term memory

Sejnowski et al. (2014)
  • Within one lifetime
    • Minutes
      • synaptic plasticity
    • Hours
      • memory consolidation
      • Hormone (melatonin, cortisol) levels
    • Days

Sejnowski et al. (2014)
  • Within one lifetime
    • Weeks
    • Months
    • Years
      • education & training
      • disease processes
      • cultural change

Sejnowski et al. (2014)
  • Across lifetimes
    • Centuries
      • cultural changes
    • Millenia
      • Natural & sexual selection

“The tree of life” (n.d.)

Methods

Evaluating methods

  • What question does method X answer?
  • What are we measuring?
    • Structure
    • Activity (function?)

Evaluating methods

  • Strengths & Weaknesses
    • Cost (time/$)
    • Invasiveness (surgery vs. no)
    • Spatial/temporal resolution
      • high/fine (small details, fast events)
      • low/poor (big picture, slow events)

Sejnowski et al. (2014)

Types of methods

  • Structural
    • What are the parts?
    • How do they connect?
  • Functional (next time)
    • What do the parts do?

Structural methods

  • Cellular methods
    • Golgi, Nissl stains
    • Tract-tracing
    • Whole brain cellular, e.g. CLARITY
  • Whole-brain methods
    • Computed Tomography/Computed Axial Tomography
    • MRI-related
      • Diffusion Tensor Imaging (DTI)
      • MR Spectroscopy
      • Voxel-based Morphometry (VBM)

Cellular methods

Golgi stain

http://connectomethebook.com/wp-content/uploads/2011/11/Brainforest17_1119.jpg

Do neurons connect like pipes?

Santiago Ramon Y Cajal

  • Argued for neuron doctrine: there are gaps between neurons
  • Neurons pass info like relay runners
  • Shared 1906 Nobel Prize with Golgi

https://upload.wikimedia.org/wikipedia/commons/0/00/Santiago_Ramón_y_Cajal%2C_estudiante_de_medicina_en_Zaragoza_1876.jpg

Nissl stain

  • Franz Nissl
  • Only cell bodies
  • Cellular distribution, concentration, microanatomy
  • Density of staining ~ cell density/number

https://www.neuroscienceassociates.com/wp-content/uploads/thionin-rhesus.jpg

Histochemical tracers

  • Neuron information flow polarized–flows in one direction
    • ≠ electronic wires, but like pipes
  • Tracers are substances that flow one direction down the neuron, allow starting/ending points to be traced

By Manuel Almagro Rivas - Own work, CC BY-SA 4.0, https://commons.wikimedia.org/w/index.php?curid=47268587

Histochemical tracers

  • Retrograde (“backward” from axon terminal to cell body)
  • Anterograde (“forward” from cell body to axon terminal)

Wanisch (n.d.)

Large-scale cellular techniques

“If understanding everything we need to know about the brain is a mile, how far have we walked?” – J. Lichtman

National Geographic (2014)

You can help map the connectome

https://eyewire.org

Clarity

Video (2013)

Evaluating cellular techniques

  • Pros:
    • High spatial resolution (resolve small details)
    • e.g., what are the parts, where are they located, how do they connect
  • Cons:
    • Poor temporal resolution
    • Invasive

Your turn

  • Why aren’t cellular techniques especially useful for studing living humans?

On to whole brain measures

  • Larger spatial scale but poorer spatial resolution

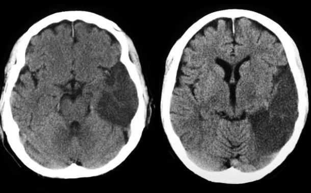
Computed axial tomography (CAT)

  • Computed tomography CT
  • X-ray based

CT scan of stroke

How tomography works

http://img.tfd.com/mk/T/X2604-T-22.png

How tomography works: https://cdn.hswstatic.com/gif/cat-scan-pineapple.jpg

Magnetic Resonance Imaging (MRI)

National Institute on Biomedical Imaging and Bioengineering (n.d.)

MRI

  • Some common substances (e.g., H) & complex molecules have magnetic dipole
  • Axes align with strong magnetic field

MRI

  • When alignment perturbed by radio frequency (RF) pulse, speed of realignment varies by tissue
  • Realignment emits RF signals

MRI

  • Types
    • Structural
    • Functional (fMRI)
  • Reveals tissue density/type differences
  • Gray matter (neurons & dendrites & axons & glia) vs. white matter (mostly axons)

Wikimedia CC BY-SA 4.0

Diffusion tensor imaging (DTI)

  • Type of structural MRI
  • Measures patterns of movement/diffusion of \(H_{2}O\)
  • Reveals integrity/density of axon fibers
  • Measure of connectivity
  • Colors used to visualize orientation of fibers

MR Spectroscopy

  • Some complex molecules generate distinctive signals that MR detects

https://radiopaedia.org/cases/glioma-mr-spectroscopy

Voxel-based morphometry (VBM)

  • Voxels (volume-based elements)
    • like pixels in an image, but volumes of tissue
  • Morphometry: measure (“metry”) form/morphology
  • How does brain size or thickness vary by age, disease status, etc.?

Williamson & Allman (2012)

Recap: Structural methods

  • Cellular methods
    • Golgi, Nissl stains
    • Tract-tracing
    • Whole brain cellular, e.g. CLARITY
  • Whole-brain methods
    • Computed Tomography/Computed Axial Tomography
    • MRI-related
      • Diffusion Tensor Imaging (DTI)
      • MR Spectroscopy
      • Voxel-based Morphometry (VBM)

Take homes

  • History of neuroscience ->
    • history of methods for observing & measuring
    • history of ideas about what observations mean
  • Neurological bases of human behavior involve
    • Multiple spatial scales (small to large)
    • Multiple temporal scales (small to large)

Resources

About

This talk was produced using Quarto, using the RStudio Integrated Development Environment (IDE), version 2025.5.1.513.

The source files are in R and R Markdown, then rendered to HTML using the revealJS framework. The HTML slides are hosted in a GitHub repo and served by GitHub pages: https://psu-psychology.github.io/psych-260-2025-fall/

References

Chudler, E. (n.d.-a). History of neuroscience. Retrieved October 12, 2022, from http://faculty.washington.edu/chudler/hist.html
Chudler, E. (n.d.-b). Neuroscience for kids - ancient "brain". Retrieved October 12, 2022, from http://faculty.washington.edu/chudler/papy.html
Eames Office. (2010). Powers of Ten™ (1977). YouTube. Retrieved from https://www.youtube.com/watch?v=0fKBhvDjuy0
Fessl, S. (n.d.). The hidden neuroscience of Leonardo da Vinci. Retrieved August 19, 2025, from https://www.wildculture.com/article/hidden-neuroscience-leonardo-da-vinci/1809
National Geographic. (2014, January). Beautiful 3-D brain scans show every synapse | national geographic. YouTube. Retrieved from https://www.youtube.com/watch?v=nvXuq9jRWKE
National Institute on Biomedical Imaging and Bioengineering. (n.d.). How does and MRI scan work? YouTube. Retrieved from https://www.youtube.com/embed/1CGzk-nV06g
NeuroBriefs. (2011). The ascent: A brief history of the brain. YouTube. Retrieved from https://www.youtube.com/watch?v=S0HKupSZq8k
SamCookeVEVO. (2015). Sam cooke - what a wonderful world (official lyric video). Youtube. Retrieved from https://www.youtube.com/watch?v=R4GLAKEjU4w&list=RDR4GLAKEjU4w&start_radio=1
Sejnowski, T. J., Churchland, P. S., & Movshon, J. A. (2014). Putting big data to good use in neuroscience. Nat. Neurosci., 17(11), 1440–1441. https://doi.org/10.1038/nn.3839
The MIT Press Reader. (n.d.). A hole in the head: A history of trepanation. Retrieved October 12, 2022, from https://thereader.mitpress.mit.edu/hole-in-the-head-trepanation/
The tree of life: We are related to every living thing! (n.d.). Retrieved August 18, 2025, from https://www.evogeneao.com/en
Video, N. (2013). See-through brains. YouTube. Retrieved from https://www.youtube.com/watch?v=c-NMfp13Uug
Wanisch, K. (n.d.). Using AAV for neuronal tracing. Retrieved August 19, 2025, from https://blog.addgene.org/using-aav-for-neuronal-tracing
Wikipedia contributors. (2024, December 10). Standing on the shoulders of giants. Retrieved from https://en.wikipedia.org/wiki/Standing_on_the_shoulders_of_giants
Wikipedia contributors. (2025a, July 6). De humani corporis fabrica libri septem. Retrieved from https://en.wikipedia.org/wiki/De_Humani_Corporis_Fabrica_Libri_Septem
Wikipedia contributors. (2025b, July 25). Ecological systems theory. Retrieved from https://en.wikipedia.org/wiki/Ecological_systems_theory
Wikipedia contributors. (2025c, July 29). Butterfly effect. Retrieved from https://en.wikipedia.org/wiki/Butterfly_effect
Williamson, P. C., & Allman, J. M. (2012). A framework for interpreting functional networks in schizophrenia. Frontiers in Human Neuroscience, 6, 184. https://doi.org/10.3389/fnhum.2012.00184