Quiz 1
Part I: Main (10 points)
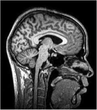
1. The image represents what type of slice?
A. Sagittal
B. Horizontal
C. Coronal
D. Axial

2. All of the following structures can be seen in the figure EXCEPT
A. Cerebellum
B. Corpus callosum
C. Lateral ventricles
D. Cerebral cortex
3. The figure illustrates which imaging model?
A. CT
B. PET
C. Magnetoencephalography (MEG)
D. MRI
4. In the mid-1600s, reflexes and animal minds were thought of as __________.
A. Human minds
B. Machines
C. Early computers
D. Artificial intelligence
5. Descartes thought that this structure was the place where the soul influenced the human body’s voluntary movements.
A. The pons
B. The pituitary gland
C. The pineal gland
D. The reflexive complex
6. The tongue is _______________ with respect to the nose.
A. Ventral
B. Superior
C. Dorsal
D. Medial
8. What is single/multi-unit recording most commonly used in?
A. Humans
B. Animals
C. Both
D. Neither
9. Electroencephalography (EEG) has ______ temporal resolution than functional MRI, but ______ spatial resolution.
A. better; similar
B. better; worse
C. worse; better
D. worse; similar
10. Which of these landmarks separates the frontal lobe from the parietal lobe?
A. Lateral fissure
B. Longitudinal fissure
C. Anterior cingulate gyrus
D. Central sulcus
Part II: Bonus
11. Which brain structure means “little brain”?
A. Tectum
B. Hippocampus
C. Cerebrum
D. Cerebellum